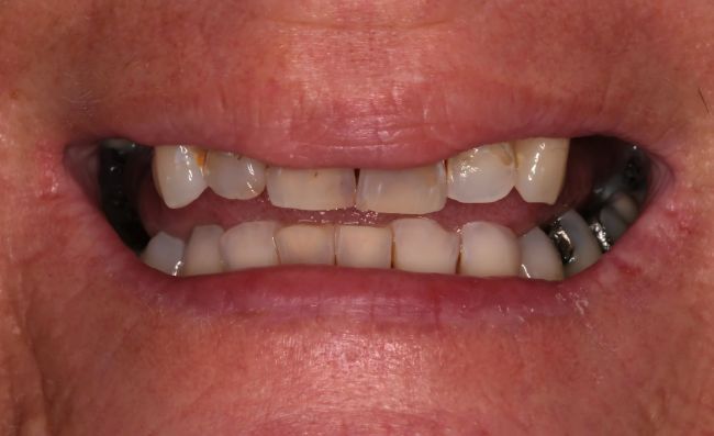
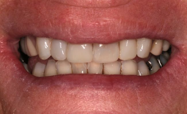
I ensure that I use the most renowned materials available, and as long as the work is maintained correctly, you can expect it to last 5-7 years on average. In some cases, where only a little bit of composite is added to teeth, these areas can be more prone to chipping. It’s important that we discuss this risk during your consultation, as there may be an alternative option.
